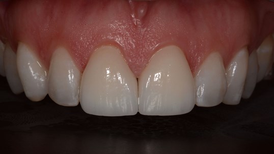
Porcelain Veneers

T. from Sherman Oaks wanted Veneers after years of ugly fillings

Patient Information:

Age: 30 – 39
Gender: Female

Procedure Details

T. from Sherman Oaks, Los Angeles wanted Veneers after years of ugly fillings that stained and upset her gums. She wanted to copy her tooth shape and color and wanted to be a minimal as possible. We veneered her 2 from teeth, let her gums heal and retrain her gums after years of inflammation and gum disease in the area.

Smile

Old composite fillings before with Veneers after

Close Up

Old composite fillings before with Veneers after

D. from Encino was ready for a Smile Makeover with Veneers

Patient Information:

Age: 40 – 49
Gender: Female

Procedure Details

D. from Encino was ready to change her smile. She was tired of her crooked, yellow and chipped teeth. She wanted a smile transformation with porcelain veneers. About 1 week was all it took to transform her smile. She couldn’t believe the difference and has been showing off her new look every since.

Smile

Close Up

J. from Encino broke her front teeth and needed Veneers that renewed her smile

Patient Information:

Age: 30 – 39
Gender: Female

Procedure Details

J. from Encino broke her front teeth in a bike accident and needed Porcelain Veneers that renewed her smile. She had composite bonding done temporarily but was ready for a permanent and long lasting solution. She couldn’t believe how quick and easy the process was. She was ecstatic with her new smile

Smile

Close Up

J. from Calabasas Smile Makeover with Porcelain Veneers

Patient Information:

Age: 40 – 49
Gender: Male

Procedure Details

J. From Calabasas wanted to transform his smile. He was tired of yellowed and misaligned teeth. A dramatic result with Porcelain Veneers was accomplished in under 2 weeks.

Smile

Dramatic change in color

Side View

Teeth are now aligned in correct space

J. from Encino's Fantastic makeover with Porcelain Veneers

Patient Information:

Age: 50 – 59
Gender: Female

Procedure Details

J. wanted a smile makeover, always self conscious of the discoloration and shape of her teeth. We used porcelain veneers to give her the smile she always wanted. She was at a loss of words with her fantastic outcome!

Smile

A dramatic difference accomplished with Dental Veneers

Side View

Side view showing the cosmetic change in color, ideal shape and proportions from porcelain veneers

B. from Tarzana Chipped Teeth transformed with Dental Implant and Veneers

Patient Information:

Age: 40 – 49
Gender: Female

Procedure Details

B. from Tarzana came in with severe damage from years GI issues. Her medical situation now controlled, she was ready for a new smile. By using a smile make over of Veneers and implants, Betty was so happy with her outcome.

Smile

B.’s front view shows how we restored her smile to show more teeth and bring the length back with her veneers

Close Up

A close up of the dramatic destruction of her original teeth. The after shows how we can really make a wonderful difference in someone’s self confidence.

G. from Sherman Oaks Smile makeover with Veneers and Implant

Patient Information:

Age: 30 – 39
Gender: Female

Procedure Details

G. from Sherman Oaks was missing her lateral incisor. Her canine was in the wrong spot and she had a baby tooth that needed to be removed. After a consultation with Dr. Howard and the team at Dental Office Encino, she decided to move forward with a combination of porcelain veneers and dental implants. Now, G. feels she has the smile she always wanted!

Smile Makeover Front View

Missing canine, after dental implant and veneers, smile is restored

Smile Makeover Side View

Closing of spaces with minimally prepped veneers

Close Up

Close up to show the detail of the veneer work

S. from Pacific Palisades Missing teeth from braces corrected with Veneers

Patient Information:

Age: 30 – 39
Gender: Female

Procedure Details

S. from Pacific Palisades was missing her lateral incisors. She went through braces when she was younger but was always frustrated with the way her smile looked since she was missing teeth. By utilizing porcelain veneers, we were able to make her canines look like lateral incisors. She was so happy to have a smile she had always dreamt about

Full Smile

Canines in wrong place after orthodontics/braces.

J. from Los Angeles Tetracycline Staining, fixed with Porcelain Veneers

Patient Information:

Age: 30 – 39
Gender: Male

Procedure Details

J. from Los Angeles came in to discuss his options regarding tetracycline staining from childhood. He had tried bleaching, composite bonding and other abrasion techniques with no success. He was ecstatic with his results and couldn’t stop smiling!

Smile

Dramatic change

Close Up

Details of the veneers

A. from Tarzana wanted a smile makeover with Veneers

Patient Information:

Age: 40 – 49
Gender: Female

Procedure Details

A. from Tarzana wanted a smile makeover with Veneers. She was unhappy with her chipped and yellow teeth. After we were done, she couldn’t stop smiling with her new teeth!

Smile

Close Up

J. from Studio City wanted Veneers and to show less Gums when she smiles

Patient Information:

Age: 50 – 59
Gender: Female

Procedure Details

J. from Studio City wanted Veneers and to show less Gums when she smiles. We performed laser gum surgery and all porcelain veneers. Her results were fantastic!

Smile

Close Up

K from Encino wanted Porcelain Veneers to transform her Smile

Patient Information:

Age: 30 – 39
Gender: Female

Procedure Details

K from Encino wanted Porcelain Veneers to transform cracked and yellow teeth into a beautiful smile. She is such a charismatic and outgoing person and now she doesn’t hide her smile. She was amazed by how easy and quick the process was. We are so happy that we could give her the results and bright smile that she has always wanted.

Smile

Close Up

L. from Los Angeles Smile makeover with Veneers, porcelain crowns and Bridge

Patient Information:

Age: 50 – 59
Gender: Female

Procedure Details

L. from Los Angeles was ready to make a difference in her life. She wanted to remove all the old crowns, bridges and bonding composite and feel confident in her smile. Within 2 weeks, we were able to give her the best birthday present she ever wished for!

Full Face

Close Up

C. from Woodland Hills Closing gaps with Porcelain Veneers

Patient Information:

Age: 18 – 29
Gender: Male

Procedure Details

C. from Woodland Hills was always embarrassed by his smile. He hated photos of himself. After closing the gaps between his teeth and giving his teeth better proportions, Chris was ready for his Photoshoot!

Full Face

Smile photographs went from not looking at the camera to all of a sudden showing off his new smile

Close Up

Close up view showing how veneers can close gaps and spaces between teeth instantly

S. from Studio City Smile Rejuvenation with Porcelain Veneers and Whitening

Patient Information:

Age: 30 – 39
Gender: Male

Procedure Details

S. from Studio City was tired of wearing his braces and wanted to do more than just straighten his teeth. He wanted a bigger, whiter smile that fit his personality. He finally has a smile that can fit his energetic charisma

Full Face

Close Up

K. from Encino had Worn down teeth, Smile Makeover with Dental Veneers

Patient Information:

Age: 40 – 49
Gender: Male

Procedure Details

A. from Encino has been aware of his worn teeth for years. He finally was ready to do something about it. He decided on 6 veneers which dramatically changed the way he smiles. He goes around town now showing off his new smile

Full Face

Full face view shows how great a transformation can be with cosmetic dentistry

Smile

close up of smile. Whiter teeth, and restored to what they originally looked like 20 years ago.

T. from Encino Porcelain Veneers to correct old composite bonding

Patient Information:

Age: 40 – 49
Gender: Female

Procedure Details

T. from Encino wanted to correct her stained bonding composites and center her teeth so they were symmetrical. We were able to give her proportionality, fantastic color and correct placement of teeth with Veneers. The result is a symmetrical and centered smile

Full Face

Smile

Can see teeth shifted over to correct midline

D. from Valley Village Replacing a missing tooth with Dental Implant and Veneers

Patient Information:

Age: over 60
Gender: Male

Procedure Details

D. from Valley Village was missing a premolar. He also wanted to change the way his teeth looked after years of bonding. After placing a dental implant and Veneers, he couldn’t believe how his smile was transformed.

Side Smile

Missing premolar, replaced with dental implant

Close Up

while replacing missing tooth also replaced old misshapen teeth with veneers

J. from Encino wanted a smile makeover with Porcelain Veneers

Patient Information:

Age: 18 – 29
Gender: Male

Procedure Details

J. from Encino wanted a smile makeover with Porcelain Veneers. He had no success with whitening and bonding would always chip off and stain. He wanted a permanent solution to his cosmetic needs. He was so happy with his brand new smile.

Full Face

Smile

Close Up

S. from Sherman Oaks hated her Gummy smile and wanted Porcelain Veneers

Patient Information:

Age: 40 – 49
Gender: Female

Procedure Details

S. from Sherman Oaks hated her Gummy smile. She wanted to show less gums and and to have a symmetric smile. After laser gum removal and All porcelain veeners, she was ecstatic with her new look.

Full Face

Smile

K. from Encino was unhappy with his smile

Patient Information:

Age: 30-39
Gender: Male

Procedure Details

Genetically small and poorly shaped teeth. We were able to correct this with minimal prepped veneers. First appointment we prep and take impressions as ions make temporaries. Second appointment one week later we deliver and bond veneers. Very little sensitivity.

Smile After

Close up

Get In Touch

This field is for validation purposes and should be left unchanged.
Full Name(Required)