Invisalign®

G. from Los Angeles wanted to straighten his teeth with Invisalign®

Patient Information:

Age: 50 – 59
Gender: Male

Procedure Details

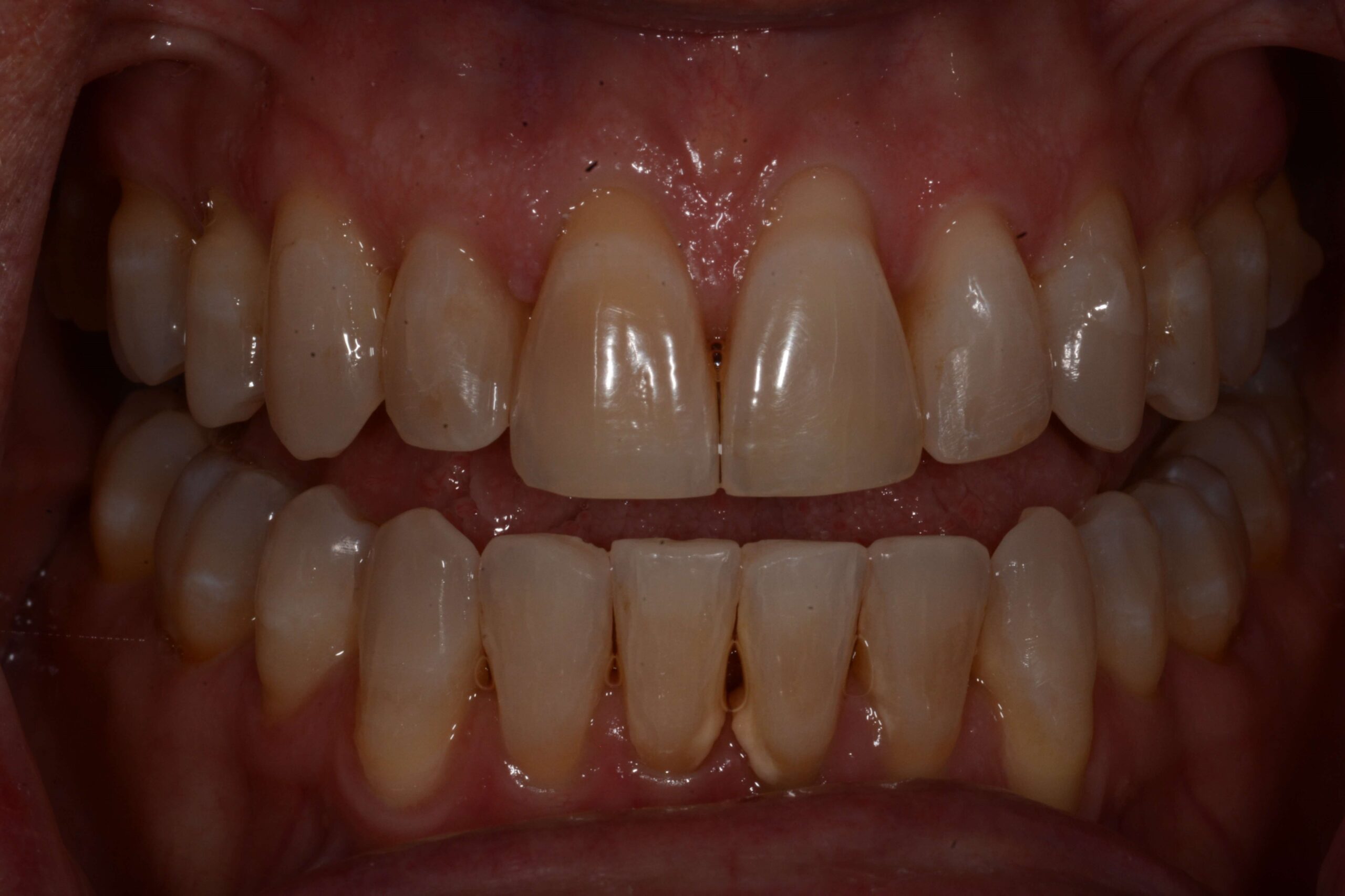
G. from Encino Los Angeles, was tired of food getting trapped in his crooked teeth and especially did not like the look of his lower crowded and crooked teeth. His kids went through orthodontics and even though he wanted to straighten teeth, he did not want metal braces. He chose Invisalign, and less than 8 months later he couldn’t believe his results! Straight teeth and a healthy bite thanks to clear trays from Invisalign.

Lower View

Before and After with Invisalign

Front View

Before and After with Invisalign

M. from Sherman Oaks wanted to close spaces with Invisalign®

Patient Information:

Age: 30 – 39
Gender: Female

Procedure Details

M. from Sherman Oaks wanted to close spaces with Invisalign. She didn’t want metal braces and was happy with the flexibility of being able to take off the clear trays whenever she needed. She was ecstatic with her results.

Front View

Upper Teeth

Lower Teeth

J. from Tarzana wanted to fix her bad bite and crooked teeth with Invisalign®

Patient Information:

Age: 30 – 39
Gender: Female

Procedure Details

J. from Tarzana wanted to fix her bad bite and crooked teeth with Invisalign. She had gone through braces when she was younger but couldn’t wear the metal wires. She was very happy with her new bite and straight teeth

Front View

Corrected bite with Invisalign

Lower Arch

Aligned teeth after Invisalign treatment

G. from Sherman Oaks wanted crowded teeth and bad bite fixed with Invisalign®

Patient Information:

Age: 50 – 59
Gender: Female

Procedure Details

G. from Sherman Oaks wanted crowded teeth and bad bite fixed with Invisalign. After going 1 year with clear trays, she was so happy with the result. She now had a stable bite and straight teeth so food wouldn’t get stuck in her teeth anymore.

Lower Teeth

Lower crowded teeth straightened with Invisalign

Bite Fixed

O. from Woodland Hills wanted to straighten teeth with Invisalign®

Patient Information:

Age: over 60
Gender: Female

Procedure Details

O. from Woodland Hills wanted to straighten teeth with Invisalign. She was worried about the wearing of her lower teeth due to her bad bite and crooked teeth. She was extremely happy with her results after finishing Invisalign treatment.

Lower teeth straightened

T. from Beverly Hills wanted to Straighten her teeth with Invisalign®

Patient Information:

Age: 30 – 39
Gender: Female

Procedure Details

T. from Beverly Hills wanted to Straighten her teeth with Invisalign and replace her old 2 front crowns with dark metal showing. We first completed Invisalign to put the teeth in the ideal placement. Then after completed, we replaced the front 2 crowns with minimally invasive techniques and thanks to first completing Invisalign, we could be very conservative in our prep. T. was so happy with her results.

Lower Jaw

Straightening lower crooked teeth

Smile

Aligning upper teeth to fill smile symmetrically

R. from Encino wanted Invisalign® to correct space in teeth and lower crowding

Patient Information:

Age: 30 – 39
Gender: Female

Procedure Details

R. from Encino wanted Invisalign to correct space in upper teeth and lower crowding. After 9 months of treatment, she was so happy with her final position.

Front View

Closing Gap

Upper View

Closing Space

Lower View

Fixing crowded lower teeth

S. from Studio City had Invisalign® Express for a fast approach to straight teeth

Patient Information:

Age: 40 – 49
Gender: Female

Procedure Details

S. from Studio City had Invisalign Express for a fast approach to straight teeth. In about 6 weeks we were able to move her lower tooth that was jetting out to the correct position. A great result for a fraction of the price with Invisalign Express

Lower View

R. from Studio City wanted Invisalign® to straighten teeth

Patient Information:

Age: 40 – 49
Gender: Male

Procedure Details

R. from Studio City wanted Invisalign to straighten teeth. After 10 months, he couldn’t believe the results. He was so happy with his new smile!

Lower Teeth

Upper Teeth

T. from Van Nuys wanted straighter teeth and to correct his bite with Invisalign®

Patient Information:

Age: 40 – 49
Gender: Male

Procedure Details

T. from Van Nuys wanted straighter teeth and to correct his bite with Invisalign. After 10 months of clear aligners, we were able to correct the crowding, cross bite and misaligned teeth. He was vey happy with his results.

Lower Jaw

Upper Jaw

Front View

B. from Studio city wanted Invisalign® to straighten his lower teeth.

Patient Information:

Age: 50 – 59
Gender: Undisclosed

Procedure Details

B. from Studio city wanted Invisalign to straighten his lower teeth. We were able to use Invisalign express for a shorter time. His one cracked tooth was placed in the correct position so that a minimal veneer could be placed to restore the tooth. The patient was very happy with the results and the quick timeline

Lower View

Get In Touch

This field is for validation purposes and should be left unchanged.
Full Name(Required)